C
Σέρρες
Δευτέρα 12 Ιανουαρίου, 2026 12.01.2026

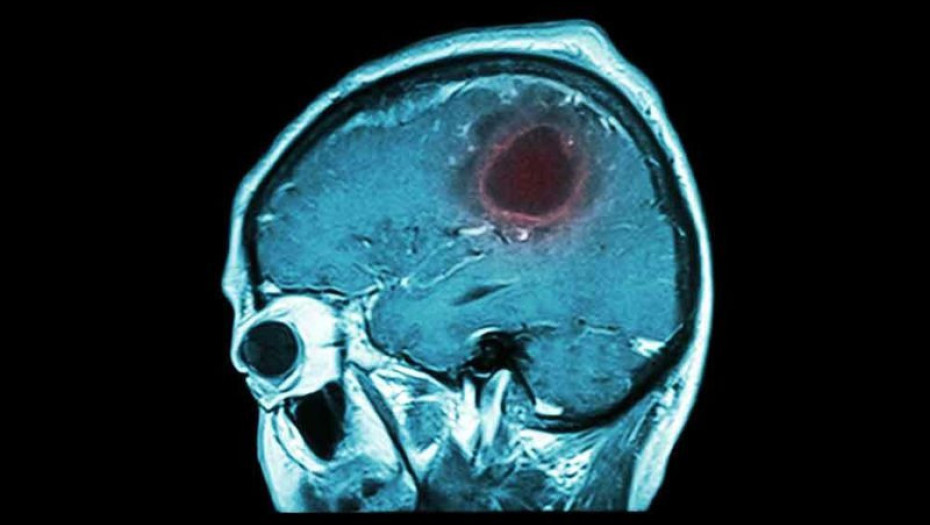
ΟΓΚΟΣ ΣΤΟΝ ΕΓΚΕΦΑΛΟ: ΤΑ 7 ΠΡΟΕΙΔΟΠΟΙΗΤΙΚΑ ΣΗΜΑΔΙΑ ΠΟΥ ΠΡΕΠΕΙ ΝΑ ΓΝΩΡΙΖΕΤΕ!

eVima Serres Team
ΟΓΚΟΣ ΣΤΟΝ ΕΓΚΕΦΑΛΟ: ΤΑ 7 ΠΡΟΕΙΔΟΠΟΙΗΤΙΚΑ ΣΗΜΑΔΙΑ ΠΟΥ ΠΡΕΠΕΙ ΝΑ ΓΝΩΡΙΖΕΤΕ!

Οι όγκοι εγκεφάλου ποικίλλουν σε μέγεθος και σχήμα και τα συμπτώματά τους εξαρτώνται από το σημείο που αναπτύσσονται στον εγκέφαλο

Εάν για παράδειγμα, ο όγκος αναπτύσσεται κοντά στο σημείο του εγκεφάλου που ελέγχει την κίνηση ή την όραση, τα συμπτώματα περιλαμβάνουν αδυναμία των άκρων ή θολή όραση.

Με δεδομένο ότι κάθε εγκεφαλικό κύτταρο μπορεί να εξελιχθεί σε όγκο και ότι ο εγκέφαλος ελέγχει και ερμηνεύει πληροφορίες από κάθε μέρος του σώματος, η γκάμα των συμπτωμάτων είναι τεράστια.

Μερικά συμπτώματα ωστόσο είναι συχνότερα σε σχέση με άλλα.

Κρίσεις επιληψίας
Ανεξάρτητα από τον τύπο του όγκου, οι επιληπτικές κρίσεις είναι στις περισσότερες περιπτώσεις ένα από τα πρώτα σημάδια του προβλήματος. Ο όγκος ερεθίζει τους νευρώνες του εγκεφάλου με αποτέλεσμα να λειτουργούν ανεξέλεγκτα και να προκαλούν μη φυσιολογικές κινήσεις. Οι κρίσεις έχουν πολλές μορφές και μπορεί να εκδηλώνονται με σπασμούς σε όλο το σώμα ή να περιορίζονται σε ένα άκρο ή τμήμα του προσώπου.

Αδεξιότητα
Αν χάνετε διαρκώς τα κλειδιά, μπερδεύετε τα βήματα ή πασχίζετε για να διατηρήσετε την ισορροπία σας, μην το αμελήσετε. Προβλήματα λόγου, δυσκολία στην κατάποση ή τον έλεγχο των εκφράσεων του προσώπου σας είναι μερικές ακόμη εκφράσεις αδεξιότητας στο κεφάλι.

Μούδιασμα
Όπως και η αδεξιότητα, η απώλεια της αίσθησης σε ένα μέρος του σώματος ή του προσώπου σας είναι ανησυχητικό σημάδι. Ειδικά εάν ο όγκος σχηματίζεται στο σημείο που ο εγκέφαλος συνδέεται με το νωτιαίο μυελό, είναι πολύ πιθανό να έχετε απώλεια αίσθησης και να κάνετε αδέξιες κινήσεις.

Αλλαγές στη μνήμη ή τη σκέψη
Ένας όγκος στον εγκέφαλο μπορεί να προκαλέσει μεγάλες αλλαγές στη συμπεριφορά ή την προσωπικότητα του ατόμου, αλλά οι ριζικές μεταμορφώσεις, σαν κι αυτές που συχνά βλέπουμε στις ταινίες, είναι κάτι ασυνήθιστο.

Είναι πάντως αναμενόμενο ο όγκος να προκαλέσει προβλήματα μνήμης ή σύγχυση.

Ναυτία
Η ζάλη και το ανακάτεμα στο στομάχι, ειδικά όταν επιμένουν και δεν δικαιολογούνται από κάτι άλλο, θα μπορούσαν να αποτελούν σημάδι της ασθένειας.

Διαταραχές της όρασης
Θολή όραση, διπλωπία (να βλέπει κάποιος διπλά) και απώλεια της όρασης είναι καταστάσεις που συνδέονται με όγκους στον εγκέφαλο. Μπορεί επίσης να βλέπετε κηλίδες ή διάφορα σχήματα, μία κατάσταση γνωστή και ως αύρα.

Ασυνήθιστοι πονοκέφαλοι
Σε αντίθεση με ό,τι πιστεύουν πολλοί άνθρωποι, οι συχνοί πονοκέφαλοι δεν αποτελούν πρώιμη ένδειξη όγκου στον εγκέφαλο. Θα μπορούσαν να προκληθούν από ένα πολύ μεγάλο όγκο, κάτι που συμβαίνει σπάνια.

Τι άλλο πρέπει να γνωρίζετε
Οι όγκοι στον εγκέφαλο μπορεί να σχετίζονται με γενετικές διαταραχές, στην πλειονότητα των περιπτώσεων όμως δεν υπάρχουν παράγοντες κινδύνου ή προδιαθεσικοί παράγοντες. Μεγαλύτερο κίνδυνο διατρέχουν τα παιδιά και όσοι είναι πάνω από 60 ετών.

Οι μεγάλοι και οι κακοήθεις όγκοι αντιμετωπίζονται με χειρουργική επέμβαση, φαρμακευτική αγωγή, ακτινοβολία ή χημειοθεραπεία. Το θετικό είναι ότι δεν είναι όλοι οι όγκοι του εγκεφάλου σοβαροί. Πολλοί είναι μικροί και καλοήθεις και δεν απαιτούν καν θεραπεία, πρέπει όμως να παρακολουθούνται για το ενδεχόμενο να μεγαλώνουν ή να αλλάζουν.

via

 

Loader
} }); } });